Volume 19, Issue 6 (Nov-Dec 2025)                   mljgoums 2025, 19(6): 16-19 | Back to browse issues page


XML Print


Download citation:
BibTeX | RIS | EndNote | Medlars | ProCite | Reference Manager | RefWorks
Send citation to:

Bhaskar Manalikandy M, Mohanty A, Maria Joseph N, Jaisundar Selvaraj R, Sistla S. Pacemaker pocket infection due to Mycobacterium abscessus subspecies abscessus: A Case Report and Literature Review. mljgoums 2025; 19 (6) :16-19
URL: http://mlj.goums.ac.ir/article-1-1797-en.html
1- Department of Microbiology, Jawaharlal Institute of Postgraduate Medical Education and Research (JIPMER), Puducherry, India
2- Department of Cardiology, Jawaharlal Institute of Postgraduate Medical Education and Research (JIPMER), Puducherry, India
3- Department of Microbiology, Jawaharlal Institute of Postgraduate Medical Education and Research (JIPMER), Puducherry, India , sujathasistla@gmail.com
Full-Text [PDF 380 kb]   (357 Downloads)     |   Abstract (HTML)  (1444 Views)
Full-Text:   (183 Views)
Introduction
Infections associated with pacemakers are uncommon but can occur. Pacemaker infections can manifest either as pocket infections, where infection occurs in the pocket created under the skin in which the pacemaker generator is placed, or can involve the leads (Wires) that act as a connection between the pacemaker and the heart (1). These infections can lead to serious complications, and prompt diagnosis and treatment are essential.
Pacemaker infections can be caused by various microorganisms, including bacteria, and they are generally classified as device-related infections. Among the bacterial agents, the most common organisms associated with these infections are coagulase-negative staphylococci and Staphylococcus aureus (2). Non-tuberculous mycobacteria (NTM), especially the rapid growers, are rarely implicated. Unlike Mycobacterium tuberculosis, NTM are ubiquitously present in the environment. The symptoms and severity of NTM infections can vary depending on the species of mycobacteria involved and the individual's immune status. Pacemaker NTM infections can occur due to contamination during the implantation procedure or from subsequent exposure to environmental sources of NTM (3).
Mycobacterium abscessus is a rapidly growing, multidrug-resistant NTM that is known for causing a variety of infections in humans. M. abscessus is commonly found in water and soil. One of the significant challenges in treating infections caused by M. abscessus is its resistance to many of the commonly used antibiotics for the treatment of NTM infections. This resistance complicates the management of infections and often requires a combination of antimicrobial agents for an extended duration (4).
The management of pacemaker infections caused by NTM often involves a combination of antimicrobial therapy and, in some cases, removal of the infected device. Removal may be necessary if the infection is severe, persistent, or if there is evidence of device-related complications (2). This case report emphasizes the need for and importance of early diagnosis and treatment of nontuberculous mycobacterial infections in artificial implants and devices.

Case Report
A 69-year-old man, a known case of type 2 diabetes mellitus for 6 years and systemic hypertension for 15 years, on regular medications for the past 10 years, presented with complaints of breathlessness on exertion lasting for 15 days. He was evaluated in a private hospital and was found to have an atrioventricular block, for which a pacemaker was implanted. After 35 days of implant placement, he noticed pus discharge from the surgical site. He presented to the cardiology outpatient department with a history of pus discharge from the surgical site of 10 days’ duration, associated with pain at the surgical site. He also reported intermittent, low-grade fever for the past 10 days. There was no history of shortness of breath, palpitations, or chest pain.
On general physical examination, the patient was well built and nourished. He was afebrile, and systemic examination was found to be normal. On local examination, the surgical wound appeared to be healing, and an opening measuring 1 × 0.5 cm was found near the lateral end of the surgical wound, with minimal pus discharge present. Ultrasound revealed a pocket site collection, and a diagnosis of device-related infection/pocket site infection was made. Transthoracic echocardiogram was negative for any vegetations on the native valve. As there was minimal pus discharge, a pus sample was collected using a sterile cotton swab and sent for bacterial culture and sensitivity. Gram staining of the sample revealed plenty of pus cells, and no bacteria were seen. The sample was plated onto 5% sheep blood agar and MacConkey agar. No growth was observed at the end of 48 hours of aerobic incubation. Since there was clinical suspicion of a pocket site infection, the plates were reincubated for another 5 days. At the end of 4 days of aerobic incubation, 0.5 - 1 mm, circular, dry, non-hemolytic colonies with entire margins were observed on blood agar (Figure 1), while MacConkey agar did not show any growth.
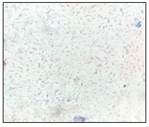
The Gram stain from the minute colonies showed short, thin gram-positive bacilli. Acid-fast staining with 25% sulfuric acid revealed acid-fast bacilli (Figure 2).
The colony was simultaneously sent for identification using MALDI-TOF MS. The organism was identified as Mycobacterium abscessus with 99.9% confidence. Gram stain from the sample was de-stained completely, and acid-fast staining was performed, which revealed short, thin acid-fast bacilli. From the blood agar, colonies were subcultured onto Lowenstein-Jensen medium. Dry, non-pigmented colonies were observed after 3 days of incubation (Figure 3).


Figure 1. A blood agar plate with colonies of Mycobacterium abscessus after 7 days of incubation


Figure 2. Acid-fast staining from the minute colonies grown on blood agar showing acid-fast bacilli


Figure 3. Dry, non-pigmented colonies observed on Lowenstein-Jensen medium after 3 days of incubation
Line probe hybridization using GenoType NTM-DR (Hain Lifesciences, Germany) was performed for further characterization and drug susceptibility testing. The organism was identified as Mycobacterium abscessus subspecies abscessus, which was sensitive to amikacin and resistant to macrolides. The treating clinical team was informed regarding the isolation of Mycobacterium abscessus, the drug resistance pattern, resistance to commonly used disinfectants, as well as the chances of recurrence if left untreated.
Surgical debridement was performed. The infected pacemaker and leads were removed, and a temporary pacemaker was implanted. After two weeks of antibiotic treatment with a temporary pacemaker, a new pacemaker was implanted on the other side. Intraoperatively, a pus sample from the pocket site was sent for culture, and Mycobacterium abscessus was isolated from the second sample as well. The patient was followed up 4 - 5 months after the new implant, and the wound was healthy.

Discussion
With the increase in the global burden of cardiovascular diseases, the demand for cardiovascular implantable electronic devices is also on the rise (CIED). The incidence of pocket infections without bloodstream infections has been noted to be 1.37 per 1000 devices, and defibrillators are associated with an increased risk when compared to pacemakers. Risk factors associated with CIED infections can be patient-related, procedure-related, or device-related. Patient-related risk factors include the presence of comorbidities such as obesity, diabetes mellitus, systemic hypertension, renal disease, or any other conditions that may impair wound healing. Procedure- and device-related risk factors include the duration of the procedure, pre- and post-antimicrobial prophylaxis, antisepsis during the procedure, intraoperative complications, duration of hospital stay, and postoperative wound care.
The common organisms associated with these infections are mainly coagulase-negative staphylococci and Staphylococcus aureus, and rarely gram-negative pathogens. Infections caused by NTM are on the rise, mainly due to the ubiquitous nature of these pathogens.
Mycobacteria are categorized into two major groups for diagnosis and treatment: The Mycobacterium tuberculosis complex, which includes M. tuberculosis, and nontuberculous mycobacteria (NTM), which comprise all other mycobacterial species that do not cause tuberculosis.
M. abscessus is one of the multidrug-resistant NTM species that is ubiquitously present in soil and water. M. abscessus was first reported as a pathogen in 1953, when it was cultured from synovial fluid in a case of post-traumatic arthritis and gluteal abscesses in the same patient (5). However, it was only in 1992, after its separation from the M. chelonae group, that it gained importance as a cause of a wide range of infections in humans, including skin and soft tissue infections, post-injection abscesses (6), along with M. avium complex involvement in bronchopulmonary infections in patients with cystic fibrosis or chronic pulmonary disease (7-10), central nervous system involvement in the form of meningitis and cerebral abscesses, especially in HIV-negative individuals and patients who have undergone neurosurgical procedures or had intracranial catheters (11), ocular infections in the form of keratitis and scleral buckle infections (12), and disseminated infections in immunocompromised individuals. Infections caused by this pathogen are often underreported, mainly due to the lack of facilities required for speciation of nontuberculous mycobacteria in resource-poor settings.
Two major mechanisms for acquiring M. abscessus complex–associated skin and soft tissue infections are direct contact with contaminated material or water through traumatic injury, surgical wounds, or environmental exposure, and secondary involvement of skin and soft tissue in cases of disseminated disease. Though rarely implicated, M. abscessus is one of the common species isolated from device-related infections next to M. fortuitum. Nosocomial outbreaks due to M. abscessus in cardiac patients have been reported (13,14). The most common cause of these infections is contamination of the leads or the pulse generator during implantation or subsequent exposure of the wound to environmental sources of these pathogens. In community settings, water supply systems have been postulated as the source of these pathogens (15,16). In hospital settings, these infections are usually associated with contaminated disinfectants and solutions used during surgery.
Mycobacterium abscessus has been classified into three subspecies based on the rpoB and other housekeeping gene sequences: Mycobacterium abscessus subsp. abscessus, Mycobacterium abscessus subsp. bolletii, and Mycobacterium abscessus subsp. massiliense (17). These constitute what is known as the M. abscessus group, or M. abscessus sensu lato (18). Mycobacterium abscessus subspecies abscessus is the major subspecies among the three and is usually refractory to standard antibiotic therapy. The two major subspecies, M. abscessus subsp. abscessus and M. abscessus subsp. massiliense, have different erm (41) gene patterns that confer resistance to macrolides through methylation of the 23S ribosomal RNA (19). This leads to intrinsic resistance to macrolides.
The intrinsic and acquired resistance of M. abscessus complex limits the therapeutic options for the treatment of infections caused by this pathogen. In addition, there is a lack of consensus on the optimum antimicrobial agents to be used for therapy and the optimum duration of treatment. The natural resistance of M. abscessus and other mycobacterial species to drugs may be due to slow growth, the presence of a waxy, impermeable cell wall that acts as both a physical and hydrophobic barrier, drug export systems, and genetic polymorphism of targeted genes (20). The recommended drug regimen for the treatment of skin and soft tissue infections due to M. abscessus consists of a macrolide in combination with amikacin plus cefoxitin or imipenem, with a minimum of 2 weeks of intravenous agents plus surgical debridement, followed by treatment for a minimum of 4 months (21).
Search strategy and selection criteria
A review of the English-language literature was conducted using PubMed with the search terms “pacemaker infection and Mycobacterium abscessus”. A total of 4 cases of device-related infections were identified. The key points are summarized in Table 1.

Table 1. Key points summary

Conclusion
Prevention of pacemaker-related infections includes adherence to sterile techniques during implantation, careful wound care, and monitoring for signs of infection in individuals with implanted devices. Antibiotic treatment for NTM infections can be challenging, as these bacteria are often resistant to multiple antibiotics. Therefore, selecting an appropriate antibiotic regimen requires consideration of the specific NTM species involved and their susceptibility to various drugs.

Acknowledgement
None.

Funding sources
None.

Ethical statement
Informed consent was obtained from the patient. The patient and the patient’s party were informed that names and initials would not be published, and due efforts would be made to conceal the patient’s identity.

Conflicts of interest
None.

Author contributions
Maanasa Bhaskar M: Writing-Original draft; Ankita Mohanty: Data collection and Analysis; Noyal Maria Joseph: Data collection, Analysis, and Methodology; Raja Jaisundar Selvaraj: Writing-Review and Editing; Sujatha Sistla*: Writing-Review and Editing. All authors have read and approved the final manuscript.

Data availability statement
The data that support the findings of this study are available from the corresponding author upon reasonable request.
Research Article: Case Report | Subject: Microbiology
Received: 2024/03/29 | Accepted: 2025/02/23 | Published: 2025/12/24 | ePublished: 2025/12/24

References
1. Klug D, Wallet F, Lacroix D, Marquié C, Kouakam C, Kacet S, et al. Local symptoms at the site of pacemaker implantation indicate latent systemic infection. Heart. 2004;90(8):882-6 [View at Publisher] [DOI] [PMID] [Google Scholar]
2. Döring M, Richter S, Hindricks G. The Diagnosis and Treatment of Pacemaker-Associated Infection. Dtsch Arztebl Int. 2018;115(26):445-52 [View at Publisher] [DOI] [PMID] [Google Scholar]
3. Centers for Disease Control and Prevention. Nontuberculous mycobacteria (NTM) [Internet]. 2024 [cited 2024 Mar 23]. Available from: https://www.cdc.gov/hai/organisms/nontuberculous-mycobacteria.html [View at Publisher]
4. Radigan A, Jevert-Eichorn S. Rare case of pacemaker infection with Mycobacterium abscessus. BMJ Case Rep. 2019;12(9):e230100. [View at Publisher] [DOI] [PMID] [Google Scholar]
5. Moore M, Frerichs JB. An unusual acid-fast infection of the knee with subcutaneous, abscess-like lesions of the gluteal region; report of a case with a study of the organism, Mycobacterium abscessus, n. sp. J Invest Dermatol. 1953;20(2):133-69. [View at Publisher] [DOI] [PMID] [Google Scholar]
6. Villanueva A, Calderon RV, Vargas BA, Ruiz F, Aguero S, Zhang Y, et al. Report on an outbreak of postinjection abscesses due to Mycobacterium abscessus, including management with surgery and clarithromycin therapy and comparison of strains by random amplified polymorphic DNA polymerase chain reaction. Clin Infect Dis. 1997;24(6):1147-53 [View at Publisher] [DOI] [PMID] [Google Scholar]
7. Griffith DE, Girard WM, Wallace RJ. Clinical features of pulmonary disease caused by rapidly growing mycobacteria. An analysis of 154 patients. Am Rev Respir Dis. 1993;147(5):1271-8. [View at Publisher] [DOI] [PMID] [Google Scholar]
8. Esther CR, Esserman DA, Gilligan P, Kerr A, Noone PG. Chronic Mycobacterium abscessus infection and lung function decline in cystic fibrosis. J Cyst Fibros. 2010;9(2):117-23. [View at Publisher] [DOI] [PMID] [Google Scholar]
9. Radhakrishnan DK, Yau Y, Corey M, Richardson S, Chedore P, Jamieson F, et al. Non-tuberculous mycobacteria in children with cystic fibrosis: isolation, prevalence, and predictors. Pediatr Pulmonol. 2009;44(11):1100-6. [View at Publisher] [DOI] [PMID] [Google Scholar]
10. Sermet-Gaudelus I, Le Bourgeois M, Pierre-Audigier C, Offredo C, Guillemot D, Halley S, et al. Mycobacterium abscessus and children with cystic fibrosis. Emerg Infect Dis. 2003;9(12):1587-91. [View at Publisher] [DOI] [PMID] [Google Scholar]
11. Lee M-R, Cheng A, Lee Y-C, Yang C-Y, Lai C-C, Huang Y-T, et al. CNS infections caused by Mycobacterium abscessus complex: clinical features and antimicrobial susceptibilities of isolates. J Antimicrob Chemother. 2012;67(1):222-5. [View at Publisher] [DOI] [PMID] [Google Scholar]
12. Girgis DO, Karp CL, Miller D. Ocular infections caused by non-tuberculous mycobacteria: update on epidemiology and management. Clin Exp Ophthalmol. 2012;40(5):467-75. [View at Publisher] [DOI] [PMID] [Google Scholar]
13. Baker AW, Lewis SS, Alexander BD, Chen LF, Wallace RJ, Brown-Elliott BA, et al. Two-Phase Hospital-Associated Outbreak of Mycobacterium abscessus: Investigation and Mitigation. Clin Infect Dis. 2017;64(7):902-11. [View at Publisher] [DOI] [PMID] [Google Scholar]
14. Baker AW, Maziarz EK, Lewis SS, Stout JE, Anderson DJ, Smith PK, et al. Invasive Mycobacterium abscessus Complex Infection After Cardiac Surgery: Epidemiology, Management, and Clinical Outcomes. Clin Infect Dis. 2021;72(7):1232-40. [View at Publisher] [DOI] [PMID] [Google Scholar]
15. Lee M-R, Sheng W-H, Hung C-C, Yu C-J, Lee L-N, Hsueh P-R, et al. Mycobacterium abscessus Complex Infections in Humans. Emerg Infect Dis. 2015;21(9):1638-46. [View at Publisher] [DOI] [PMID] [Google Scholar]
16. Thomson RM, Carter R, Tolson C, Coulter C, Huygens F, Hargreaves M. Factors associated with the isolation of Nontuberculous mycobacteria (NTM) from a large municipal water system in Brisbane, Australia. BMC Microbiol. 2013;13:89. [View at Publisher] [DOI] [PMID] [Google Scholar]
17. Leao SC, Tortoli E, Euzéby JP, Garcia MJ. Proposal that Mycobacterium massiliense and Mycobacterium bolletii be united and reclassified as Mycobacterium abscessus subsp. bolletii comb. nov., designation of Mycobacterium abscessus subsp. abscessus subsp. nov. and emended description of Mycobacterium abscessus. Int J Syst Evol Microbiol. 2011;61(Pt 9):2311-3. [View at Publisher] [DOI] [PMID] [Google Scholar]
18. Macheras E, Roux A-L, Bastian S, Cardoso Leão S, Palaci M, Sivadon-Tardy V, et al. Multilocus sequence analysis and rpoB sequencing of Mycobacterium abscessus (sensu lato) strains. J Clin Microbiol. 2011;49(2):491-9. [View at Publisher] [DOI] [PMID] [Google Scholar]
19. Nash KA, Brown-Elliott BA, Wallace RJ. A novel gene, erm(41), confers inducible macrolide resistance to clinical isolates of Mycobacterium abscessus but is absent from Mycobacterium chelonae. Antimicrob Agents Chemother. 2009;53(4):1367-76. [View at Publisher] [DOI] [PMID] [Google Scholar]
20. Jarlier V, Nikaido H. Permeability barrier to hydrophilic solutes in Mycobacterium chelonei. J Bacteriol. 1990;172(3):1418-23. [View at Publisher] [DOI] [PMID] [Google Scholar]
21. Griffith DE, Aksamit T, Brown-Elliott BA, Catanzaro A, Daley C, Gordin F, et al. An official ATS/IDSA statement: diagnosis, treatment, and prevention of nontuberculous mycobacterial diseases. Am J Respir Crit Care Med. 2007;175(4):367-416. [View at Publisher] [DOI] [PMID] [Google Scholar]
22. Kessler AT, Kourtis AP. Mycobacterium abscessus as a cause of pacemaker infection. Med Sci Monit. 2004;10(10):CS60-62. [View at Publisher] [PMID] [Google Scholar]
23. Cutay AM, Horowitz HW, Pooley RW, Van Horn K, Wormser GP. Infection of epicardial pacemaker wires due to Mycobacterium abscessus. Clin Infect Dis. 1998;26(2):520-1. [View at Publisher] [DOI] [PMID] [Google Scholar]
24. Dumic I, Lutwick L. Successful treatment of rapid growing mycobacterial infections with source control alone: Case series. IDCases. 2021;26:e01332. [View at Publisher] [DOI] [PMID] [Google Scholar]

Add your comments about this article : Your username or Email:
CAPTCHA

Send email to the article author


Rights and permissions
Creative Commons License This work is licensed under a Creative Commons Attribution-NonCommercial 4.0 International License.