Volume 18, Issue 4 (Jul-Aug 2024)                   mljgoums 2024, 18(4): 24-26 | Back to browse issues page


XML Print


Download citation:
BibTeX | RIS | EndNote | Medlars | ProCite | Reference Manager | RefWorks
Send citation to:

Aghaei M, Asadpour L, Arasteh A. Biofilm-forming ability and Agr-specific group of methicillin-resistant Staphylococcus aureus in Northern Iran. mljgoums 2024; 18 (4) :24-26
URL: http://mlj.goums.ac.ir/article-1-1511-en.html
1- Department of Biology, Rasht Branch, Islamic Azad University, Rasht, Iran
2- Department of Biology, Rasht Branch, Islamic Azad University, Rasht, Iran , l.asadpour@yahoo.com
Full-Text [PDF 398 kb]   (720 Downloads)     |   Abstract (HTML)  (2989 Views)
Full-Text:   (558 Views)
 Introduction
Infections caused by Staphylococcus aureus are among the most common causes of nosocomial infections in both developed and developing countries (1). This bacterium has a broad spectrum of virulence agents that allow it to withstand antimicrobial drugs, including methicillin. Methicillin-resistant S. aureus (MRSA) remains a leading cause of severe infections, particularly in the healthcare industry, associated with mortality despite rising healthcare costs (2).
Virulence factors are expressed in MRSA infections in response to regulators of sub-genes (Agr genes) that encode an auto-inducing peptide (AIP) (3). The accessory gene regulator (Agr) is one of the major regulatory and control factors in the cell surface proteins and virulence gene expression of S. aureus. The Agr system is also essential for bacteria's capacity to form biofilms and control the production of binding and secretory proteins (3). Furthermore, Agr system is polymorphic and allows classification of S. aureus strains in four groups (Agr I, Agr II, Agr III, and Agr IV) according to the sequences diversity in the variable regions (4).
S. aureus strains are in planktonic and biofilm modes. The ability to form biofilms facilitates bacterial adhesion to various surfaces of medical devices, including catheters and artificial heart valves as the main mechanisms in the pathogenicity development of S. aureus strains. Biofilms can reduce bacterial drug susceptibility in S. aureus-related chronic diseases, including osteomyelitis, endocarditis, implant-related, and wound infections (5,6). Biofilm-producing bacteria adopt several mechanisms to be more resistant to antibiotics. These mechanisms included limited antibiotic diffusion into the biofilms, and transmission of resistance genes across the community (7). S. aureus express several proteins, including clumping factors A and B (ClfA and ClfB), which can bind specifically to fibronectin, and some of them, such as fibronectin-binding proteins A and B (FnBPA and FnBPB), can bind to fibronectin, fibrinogen, and collagen. They are associated with the biofilm formation (8). The operon ica in S. aureus produces an intercellular adhesion molecule, which regulates biofilm formation and facilitates cell junctions. These molecules allow S. aureus to attach to host cell surfaces, invade, damage tissue, and form biofilms, which protect the internal bacteria inside biofilms, hiding from immune system defense mechanisms and failure of antibiotic therapy (9).
Due to the clinical importance of MRSA, the role of biofilm formation in antibacterial drug resistance, and regulatory effects of Agr genes in S. aureus, the present study aimed to investigate biofilm-forming ability and Agr-specific group of clinical MRSA in Northern Iran.

Methods
In this cross-sectional study, clinical samples were collected from patients' blood, urine, and skin lesions in Guilan province, Northern Iran in 2021. In total, 200 non-duplicate S. aureus isolates were included in this study and duplicate samples from patients were excluded. Isolation and identification of test bacteria were performed using biochemical and molecular methods as described previously (10). S. aureus ATCC43300 strain has been used as a positive control.
Antibacterial resistance of test isolates was investigated according to the CLSI (2020) guideline. The disks of antibiotics (High Media-India), including Cefoxitin (30 µg), Cephalexin (30 µg), Cephalothin (30 µg), Penicillin (10 µg), Amoxicillin (25 µg), Imipenem (10µg), Gentamicin (10 µg), Clindamycin (2 µg), Doxycycline (30 µg), Minocycline (30 µg), Tetracycline (30 µg), Nitrofurantoin (300 µg), Teicoplanin, Cotrimoxazole (23.75 µg), Azithromycin (15 µg), Erythromycin (15 µg), Clarithromycin (15 µg), Rifampicin (5 µg), Ciprofloxacin (5 µg) were used to determine the antibiotic sensitivity of methicillin-resistant isolates. The resistance of isolates to vancomycin was assessed by MIC measurement using the CLSI broth microdilution method. Isolates exhibiting resistance to at least one agent in three or more different antimicrobial categories were defined as multi-drug resistant (MDR) (11).
All the isolates were determined as MRSA following phenotypic (Cefoxitin disc screening) and genotypic (Amplification of the mecA gene) methods. The Gram-positive bacteria DNA extraction kit was used to extract the bacterial genome (Cinnagen, Iran). Previously published primers were used for mecA gene amplification (1). PCR reaction was performed in 25 μl, including 12.5 μl of PCR master mix (Cinnagen, Iran), 20 pmol of each primer, and 5 μL of template DNA. Thermocycler thermal treatment was as described previously (1). Eventually, PCR products were electrophoresed on 1.5% agarose gel, which was examined via UV transilluminator. Agr gene types were determined by Agr group-specific multiplex PCR using specific primers of the four types of this gene as described previously (3). PCR reaction was performed as described above and obtained products were detected by electrophoresis using a 1% agarose gel and confirmed by sequencing. Biofilm-forming assay was performed in a microtiter plate. In brief, standard overnight cultures (1.5×108 CFU/ml) were diluted 100 folds in Tryptic soy broth containing 1% glucose. From each culture dilution, 200 µl was transferred into individual wells of a 96-well flat-bottomed polystyrene plate and incubat¬ed overnight at 37 °C for 48 hours. Then, the wells were rinsed three times with PBS and subsequently fixed with methanol for 20 min, stained with 200 μl of 0.02% crystal violet and rinsed with distilled water for 5 minutes. Biofilm was quantitatively analyzed by adding 200 μl of 33% glacial acetic acid to each well after drying the plates, followed by measuring their OD at 492 nm as described previously (12). Staphylococcus epidermidis ATCC 35984 strains and Staphylococcus epidermidis ATCC 12228 strains were used as positive and negative biofilm formation controls, respectively. The frequency of eight genes associated with biofilm formation, including icaA, icaD, bap, fnbA, fnbB, clfA, clfB, and cna, was determined using previously published methods in a PCR reaction (9), with the same PCR reaction parameters as the previous stage. PCR products were detected by electrophoresis using a 1% agarose gel. The correlation between antibiotic resistance and Agr locus with frequency of biofilm encoding genes of MRSA isolates was analyzed using SPSS software and Chi-square test. P£0.05 was considered statistically significant.

Results
In total, 200 isolates of S. aureus were identified in clinical samples of urine (120 isolates), skin lesions (45 isolates), and blood (35 isolates). Among them, resistance to selected antibiotics was detected as: gentamicin 50 %, clindamycin 62.5%, cephalexin 50. %, cefoxitin 62.5%, cephalothin 62.5%, penicillin 91.5%, amoxicillin 71.5%, imipenem 12.5%, doxycycline 74%, minocycline 41.5%, tetracycline 75%, nitrofurantoin 55%, teicoplanin 9.5%, Co-Trimoxazole 38.5%, azithromycin 50%, erythromycin 62.5%, clarithromycin 66.5%, rifampicin 46%, ciprofloxacin 69.5%. In 10 isolates (8.3%), MIC values of vancomycin were ⩾4 µg/ml and considered vancomycin-non-susceptible isolates. Moreover, more than 75% of the isolates demonstrated multiple antibiotic resistance. Among 125 cefoxitin-resistant isolates, the mecA gene was detected in 120 (96 %) isolates using PCR reaction.
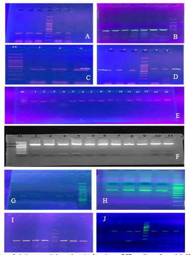
Agr types 1, 2, 3, and 4 were identified in 78, 15, 17, and five MRSA isolates, respectively, and ten isolates were non-typeable for Agr locus. Among 125 MRSA isolates, 79.2% were able to form biofilms, of which 19 (15.2%), 26 (20.8%), and 54 (43.2%) isolates produced weak, moderate, and strong biofilms, respectively. The clfA, clfB, and fnbA genes were found in all isolates that passed the biofilm-producing phenotypic test, and icaA and icaD were found in 85.85% and 78% of them, respectively. The frequency of all tested biofilm-associated genes was significantly higher in MDR isolates (P< 0.05). All of the biofilm-associated genes were identified in Agr-positive strains. Table 1 represents the frequency of biofilm production encoding genes of MRSA isolates in Agr-specific groups. Also, agarose gel electrophoresis of mecA, Agr and selected biofilm associated genes are shown in Figures 1.


Figure 1. A. Agarose gel electrophoresis of mecA gene PCR amplicons. Lanes 1-3: 310 bp PCR amplicons of mecA; Lane M:100 bp DNA marker; B. Agarose gel electrophoresis of AgrI gene PCR amplicons. Lanes 1-7: 441 bp PCR amplicons of AgrI; Lane M:100 bp DNA marker; C. Agarose gel electrophoresis of AgrIII gene PCR amplicons. Lanes 1-3: 323 bp PCR amplicons of AgrII; Lane M:100 bp DNA marker; D. Agarose gel electrophoresis of AgrII and Agr IV gene PCR amplicons. Lanes 1-3: 575 bp PCR amplicons of AgrII; Lane M:100 bp DNA marker; Lanes 4 and 5: 659 bp PCR amplicons of AgrIV; E. Agarose gel electrophoresis of clfB gene PCR amplicons. Lanes 1-3 and 5-15: 505 bp PCR amplicons of clfB; Lane M:100 bp DNA marker; F. Agarose gel electrophoresis of bap gene PCR amplicons. Lanes 1-11: 971 bp PCR amplicons of bap; Lane M:100 bp DNA marker; G. Agarose gel electrophoresis of clfA gene PCR amplicons. Lanes 1,2 and 5: 855 bp PCR amplicons of clfA; Lane M:100 bp DNA marker; H. Agarose gel electrophoresis of fnbA gene PCR amplicons. Lanes 1-4: 643 bp PCR amplicons of fnbA; Lane M:100 bp DNA marker; I. Agarose gel electrophoresis of fnbB gene PCR amplicons. Lanes 1-7: 524 bp PCR amplicons of fnbB; Lane M:100 bp DNA marker; J. Agarose gel electrophoresis of cna gene PCR amplicons. Lanes 1-6: 423 bp PCR amplicons of cna; Lane M:100 bp DNA marker.
Table 1. Frequency of biofilm production encoding genes of MRSA isolates in Agr-specific group

Discussion
In the present study, a total of 200 S. aureus isolates were screened for methicillin resistance, biofilm formation and Agr-specific grouping. Among them, 62.5% were methicillin-resistant and 75% were MDR isolates. The frequency of MRSA may vary by region, indicating the rising trend over the years. According to a systematic review and meta-analysis, the overall prevalence of MRSA in Iran varied from 20% to 90% (13). In a study by Arabestani et al. (2016), more than 50% of S. aureus isolates were methicillin-resistant which is in line with those in this research (14). A 100% frequency of MRSA was also reported in an epidemiological investigation conducted in various teaching hospitals in Tehran (15). In our study, mecA was found in 96% of MRSA isolates. The absence of the mecA gene is common in cefoxitin-resistant strains. This finding may have resulted from a false-negative PCR reaction that can arise from point mutation or deletion in mecA gene or as a result of the non-mecA methicillin resistance mechanisms, such as the novel mecA homologous, mecC (16,17). The frequency of MDR isolates detected in the present study is higher than what was reported by Derakhshan et al., (2021) and is in accordance with different studies from Iran (3,18,19). Also, according to previous studies (3,20), the present S. aureus strains showed a high frequency of resistance to β-lactams, which can be due to the wide use of these antibacterials in the treatment of different infections. Additionally, 79.2% of MRSA isolates have the ability to generate biofilms with the frequency of fnbA (80.8%), fnbB (72%), clfA (79.2%) clfB (79.2%), icaA (68%), icaD (62.4%), bap (12.8%) and cna (18.4%). In addition, we found an association between the frequency of all tested biofilm-associated genes and MDR phenotype (P<0.05) and Agr type I was the most prevalent type (62.4%) in tested isolates, followed by types III (13.6%), II (12%), and IV (4%). Furthermore, all of the biofilm-associated genes were identified in Agr-positive strains. This finding is consistent with two different studies that found that the presence of the Agr operon was strongly associated with the carriage of virulence genes (9,18).

Conclusion
The findings of the current study indicate a significant relationship between the frequency of biofilm-associated genes, MDR phenotype, and the presence of Agr locus in MRSA. However, the correlation between antimicrobial resistance and biofilm production with Agr type is difficult to demonstrate and needs further investigations. The present study suggests that reliable and rapid identification of biofilm-forming MRSA strains and treatment of related diseases are required to prevent the spread of these bacteria.

Acknowledgement
This study was supported by Islamic Azad University, Rasht branch.

Funding sources
None.

Ethical statement
Since we did not use any animal models and patients and just used isolates that were previously obtained from clinical samples in laboratories, we did not have any ethical approval for this study, nevertheless, we confirm that the study complies with all regulations.

Conflicts of interest
The authors declare no conflict of interest.

Author contributions
Mahsa Aghaei: Data curation, writing-original draft. Leila Asadpour: Writing-review and editing, supervision, and methodology. Amir Arasteh: Methodology.
 
Research Article: Research Article | Subject: bacteriology
Received: 2023/05/1 | Accepted: 2023/07/9 | Published: 2025/03/11 | ePublished: 2025/03/11

References
1. Mahdiyoun SM, Kazemian H, Ahanjan M, Houri H, Goudarzi M. Frequency of aminoglycoside-resistance genes in methicillin-resistant Staphylococcus aureus (MRSA) isolates from hospitalized patients. Jundishapur journal of microbiology. 2016; 9(8): e35052. [View at Publisher] [DOI] [PMID] [Google Scholar]
2. Akpaka PE, Roberts R, Monecke S. Molecular characterization of antimicrobial resistance genes against Staphylococcus aureus isolates from Trinidad and Tobago. Journal of infection and public health. 2017;10(3): 316-23. [View at Publisher] [DOI] [PMID] [Google Scholar]
3. Nasirian S, Saadatmand S, Goudarzi H, Goudarzi M, Azimi H. Molecular investigation of methicillin-resistant Staphylococcus aureus strains recovered from the intensive care unit (ICU) based on toxin, adhesion genes and agr locus type analysis. Archives of Clinical Infectious Diseases. 2018;13(2): e14495. [View at Publisher] [DOI] [Google Scholar]
4. Zaatout N, Ayachi A, Kecha M. Staphylococcus aureus persistence properties associated with bovine mastitis and alternative therapeutic modalities. Journal of applied microbiology. 2020; 129(5): 1102-19. [View at Publisher] [DOI] [PMID] [Google Scholar]
5. Ghasemian A, Peerayeh SN, Bakhshi B, Mirzaee M. The microbial surface components recognizing adhesive matrix molecules (MSCRAMMs) genes among clinical isolates of Staphylococcus aureus from hospitalized children. Iran J Pathol. 2015; 10(4): 258-264. [View at Publisher] [PMID] [Google Scholar]
6. Miao J, Lin S, Soteyome T, Peters BM, Li Y, Chen H, et al. Biofilm formation of Staphylococcus aureus under food heat processing conditions: first report on CML production within biofilm. Scientific reports. 2019; 9(1): 1-9. [View at Publisher] [DOI] [PMID] [Google Scholar]
7. Goudarzi M, Navidinia M, Khadembashi N, Rasouli R. Biofilm Matrix Formation in Human: Clinical Significance, Diagnostic Techniques, and Therapeutic Drugs. Archives of Clinical Infectious Diseases. 2021; 16(3): 1-9. [View at Publisher] [DOI] [Google Scholar]
8. Walsh EJ, Miajlovic H, Gorkun OV, Foster TJ. Identification of the Staphylococcus aureus MSCRAMM clumping factor B (ClfB) binding site in the αC-domain of human fibrinogen. Microbiology. 2008; 154(Pt 2): 550-558. [View at Publisher] [DOI] [PMID] [Google Scholar]
9. Zhang Y, Xu D, Shi L, Cai R, Li C, Yan H. Association between agr type, virulence factors, biofilm formation and antibiotic resistance of Staphylococcus aureus isolates from pork production. Frontiers in microbiology. 2018; 9: 1876. [View at Publisher] [DOI] [PMID] [Google Scholar]
10. Paniagua-Contreras G, Sáinz-Espu T, Monroy-Pérez E, Rodríguez-Moctezuma JR, Arenas-Aranda D, Negrete-Abascal E, et al. Virulence markers in Staphylococcus aureus strains isolated from hemodialysis catheters of Mexican patients. 2012: 2(4): 25847. [View at Publisher] [DOI] [Google Scholar]
11. Magiorakos A-P, Srinivasan A, Carey RB, Carmeli Y, Falagas M, Giske C, et al. Multidrug-resistant, extensively drug-resistant and pandrug-resistant bacteria: an international expert proposal for interim standard definitions for acquired resistance. Clinical Microbiology and Infection. 2021; 18(3): 268-81. [View at Publisher] [DOI] [PMID] [Google Scholar]
12. Pereyra EA, Picech F, Renna MS, Baravalle C, Andreotti CS, Russi R, et al. Detection of Staphylococcus aureus adhesion and biofilm-producing genes and their expression during internalization in bovine mammary epithelial cells. Veterinary Microbiology. 2016; 183: 69-77. [View at Publisher] [DOI] [PMID] [Google Scholar]
13. Askari E, Soleymani F, Arianpoor A, Tabatabai SM, Amini A, NaderiNasab M. Epidemiology of mecA-methicillin resistant Staphylococcus aureus (MRSA) in Iran: a systematic review and meta-analysis. Iranian journal of basic medical sciences. 2012; 15(5): 1010. [View at Publisher] [PMID] [Google Scholar]
14. Arabestani MR, Rastiany S, Mousavi SF, Ghafel S, Alikhani MY. Identification of toxic shock syndrom and exfoliative toxin genes of Staphylococcus aureus in carrier persons, resistant and susceptible methicillin. Tehran University Medical Journal. 2015; 73(8): 554-60. [View at Publisher] [Google Scholar]
15. Havaei SA, Vidovic S, Tahmineh N, Mohammad K, Mohsen K, Starnino S, et al. Epidemic methicillin-susceptible Staphylococcus aureus lineages are the main cause of infections at an Iranian university hospital. Journal of clinical microbiology. 2011; 49(11): 3990-3. [View at Publisher] [DOI] [PMID] [Google Scholar]
16. Dhungel S, Rijal KR, Yadav B, Dhungel B, Adhikari N, Shrestha UT, et al. Methicillin-Resistant Staphylococcus aureus (MRSA): Prevalence, Antimicrobial Susceptibility Pattern, and Detection of mecA Gene among Cardiac Patients from a Tertiary Care Heart Center in Kathmandu, Nepal. Infect Dis (Auckl). 2021;14:11786337211037355. [View at Publisher] [DOI] [PMID] [Google Scholar]
17. Goudarzi M, Navidinia M, Dadashi M, Hashemi A, Pouriran R. First report of methicillin-resistant Staphylococcus aureus carrying the mecC gene in human samples from Iran: prevalence and molecular characteristics. New Microbes and New Infections. 2020; 39: 100832. [View at Publisher] [DOI] [PMID] [Google Scholar]
18. Derakhshan S, Navidinia M, Haghi F. Antibiotic susceptibility of human-associated Staphylococcus aureus and its relation to agr typing, virulence genes, and biofilm formation. BMC Infectious Diseases. 2021; 21(1): 1-10. [View at Publisher] [DOI] [PMID] [Google Scholar]
19. Tahmasebi H, Dehbashi S, Arabestani MR. Association between the accessory gene regulator (agr) locus and the presence of superantigen genes in clinical isolates of methicillin-resistant Staphylococcus aureus. BMC research notes. 2019; 12(1): 1-7. [View at Publisher] [DOI] [PMID] [Google Scholar]
20. Goudarzi M, Seyedjavadi SS, Nasiri MJ, Goudarzi H, Nia RS, Dabiri H. Molecular characteristics of methicillin-resistant Staphylococcus aureus (MRSA) strains isolated from patients with bacteremia based on MLST, SCCmec, spa, and agr locus types analysis. Microbial pathogenesis. 2017; 104: 328-35. [View at Publisher] [DOI] [PMID] [Google Scholar]

Add your comments about this article : Your username or Email:
CAPTCHA

Send email to the article author


Rights and permissions
Creative Commons License This work is licensed under a Creative Commons Attribution-NonCommercial 4.0 International License.

© 2007 All Rights Reserved | Medical Laboratory Journal

Creative Commons License
This work is licensed under a Creative Commons Attribution-NonCommercial 4.0 International License.